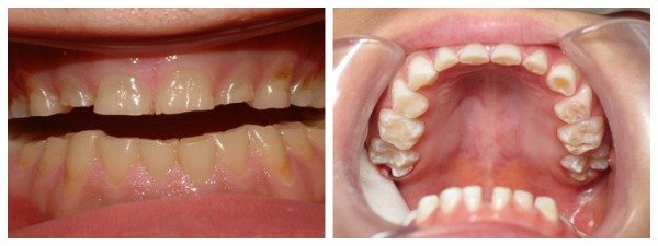
Teeth grinding or bruxism is involuntary and generally occurs when you sleep, causing damage to your teeth. If you think you grind your teeth make an appointment as soon as possible. We will look at your teeth and talk about possible treatment options that may include:
* repair of tooth damage if this has occurred
 * fixing fillings that are too high
 * custom made bite guards (comfort splints) to wear at night so that the guard is worn down instead of your teeth.
A custom made comfort splint (teeth grinding guard) from Leederville Dental can prevent damage done through teeth grinding.

Problems caused by tooth grinding may include:
*cracked tooth enamel and more wear and tear on the teeth than is normal
 *broken teeth or broken restorations (for example, fillings)
 *pain in the jaw joint or limited movement and sore jaw muscles
 *tooth loss or enlargement of the jaw muscles (rare)
Relaxation and stress prevention techniques could help to reduce the amount of teeth grinding.


